26 septembre 2024

La technique One step- No prep assistée par Orthodontie

CAROLE CHARAVET & AMÉLIE MAINJOT

Traitement de l’usure sévère localisée : La technique One step- No prep assistée par Orthodontie

Comment prendre en charge l'usure dentaire localisée ?

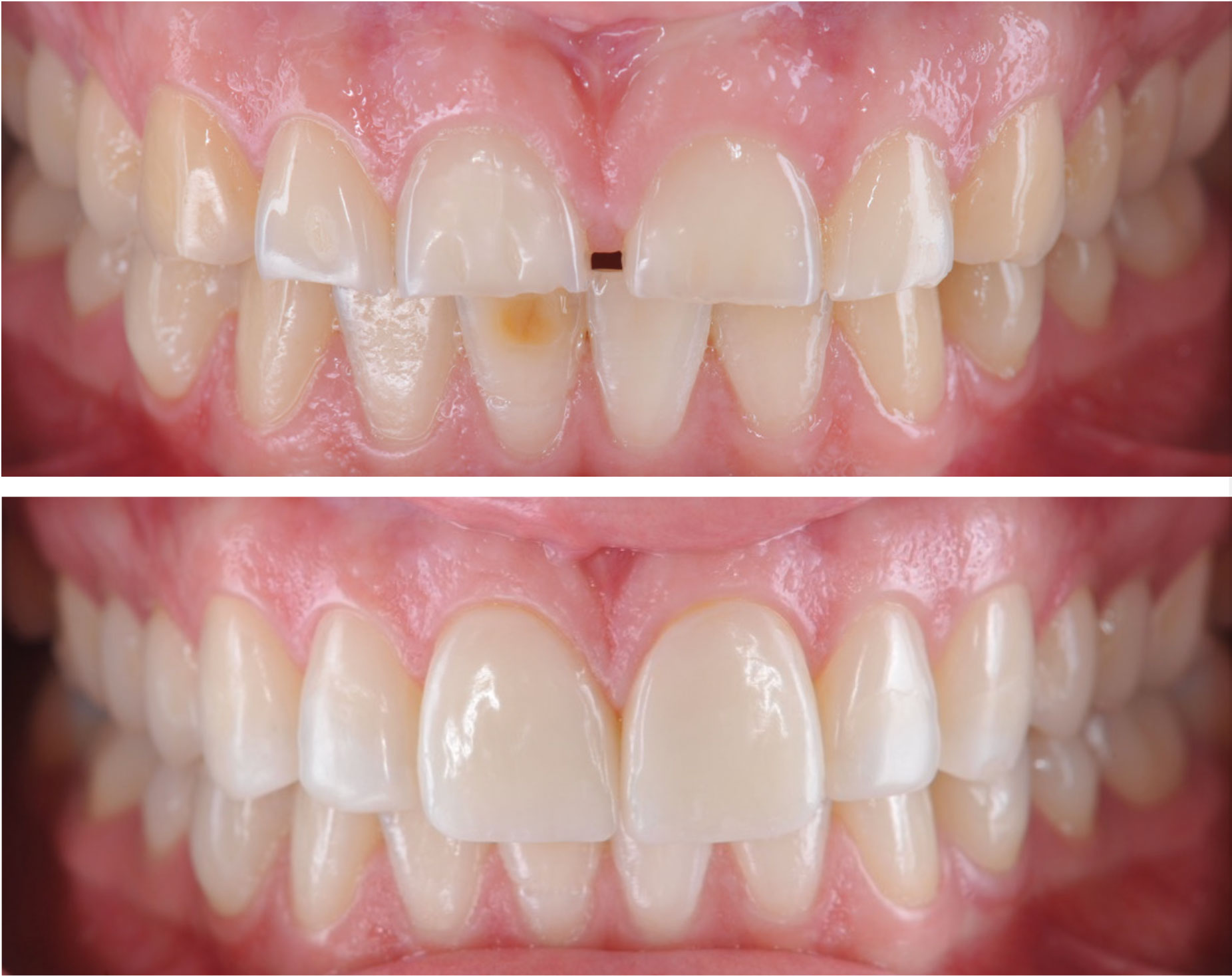
L’usure dentaire est un phénomène fréquemment rencontré lors de nos consultations, même chez le jeune adulte, et sa prise en charge soulève des interrogations pour le praticien, en particulier lorsque l’usure est localisée à certaines dents, généralement les dents antérieures.

Comment reconstruire les tissus dentaires de manière simple et non invasive lorsqu’aucun espace interocclusal n’est disponible ? L’exposé mettra en lumière un protocole de traitement innovant pour la gestion de l’usure sévère localisée (« One step-No prep ») qui ne nécessite pas de préparation des tissus dentaires ni de passage par une phase provisoire.

Il met en œuvre les nouvelles générations de matériaux composites pour CFAO, en particulier les céramiques hy- brides ou PICN, ainsi que l’orthodontie, qui se révèle être un outil indispensable dans cette gestion des cas d’usure sévère localisée. Cette présentation soulignera ainsi le bénéfice significatif des collaborations pluridisciplinaires

Pr Carole Charavet

  • Chirurgien-Dentiste, Spécialiste qualifiée en Orthopédie dento-faciale
  • Professeure des Universités – Praticienne Hospitalière (PU-PH)
  • Directrice Département et Unité d’Orthodontie, Université Côte d’Azur et CHU de Nice
  • Coordinatrice locale du DES d’ODF, Université Côte d’Azur et CHU de Nice Responsable Unité de Recherche Clinique en Odontologie, CHU de Nice
  • Auteure de publications internationales, IADR Innovation Award

Pr. Amélie Mainjot

  • Chirurgien-Dentiste, Spécialiste en biomatériaux dentaires, dentisterie esthétique et minimalement invasive
  • Professeure des Universités – Praticienne Hospitalière (PU-PH)
  • Directrice de la d-BRU (Dental Biomaterials Research Unit), Université de Liège, Belgique
  • Chef de clinique, Service de Prothèse fixe, CHU de Liège
  • Membre actif de l’European Academy of Esthetic Dentistry
  • Conférencière internationale, auteure de publications scientifiques internationales

LIEU DE L'ÉVÈNEMENT

HÔTEL SAINT PAUL, NICE

La journée se déroulera à l’hôtel St-Paul à la Réserve, au Port de Nice. L’hôtel dispose d’un parking gratuit de 80 places. Les conférences se dérouleront dans la salle Bréa.

Les sponsors