Le bridge collé cantilever postérieur en céramique: une alternative crédible à l'implantologie ?
Dr Jean - Pierre Attal
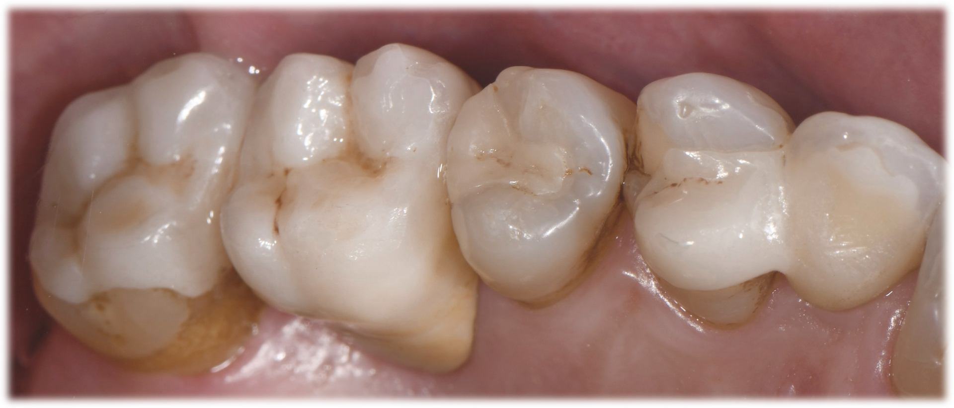
Désormais reconnu comme l’hypothèse thérapeutique de première intention pour compenser un édentement unitaire du secteur antérieur, le bridge collé cantilever en céramique est désormais proposé dans le secteur postérieur par l’équipe de l’URB2i dans les cas où l’implantologie est contre indiqué. Cette présentation vous donnera toutes les clefs de sa réalisation de la préparation au collage. De plus, en nous aidant de cas cliniques, nous nous poserons la question de savoir si ses indications peuvent être étendues aux cas où l’implantologie n’est pas contre-indiquée, et ce, sans trahir l’Evidence Based Dentistry.
Dr Jean - Pierre Attal
MCU-PH en Biomatériaux à l’Université de Paris Cité
Responsable de la consultation de traitement des dyschromies dentaires de l’hôpital Charles Foix (Ivry/Seine)
Président de la Société Francophone de Biomatériaux Dentaires (SFBD)
Fondateur et Rédacteur en chef de la revue BMC (Biomatériaux dentaires Cliniques)
HÔTEL SAINT PAUL, NICE
- 29 bd Franck Pilatte, 06300 Nice
- Parking gratuit 80 places
- bioteamnice@outlook.fr